medius KLINIK RUIT

Menu

Nicht-invasive bildgebende Diagnostik von Herzerkrankungen

Magnetresonanztomographie (MRT)

Die wichtigsten Gründe für eine MRT-Untersuchung des Herzens sind die Darstellung der Pathomorphologie des Herzens und der großen Gefäße, die Funktionsdiagnostik des Herzens bei eingeschränkter echokardiographischer Beurteilbarkeit, die exakte Quantifizierung der LV-Funktion sowie die Beurteilung von Herzklappenerkrankungen.

Das MRT ist die derzeit beste Untersuchungsmethode für die Vitalitätsdiagnostik bei Patienten nach akutem Myokardinfarkt oder bei chronischer Myokardischämie, die Darstellung von linksventrikulären Thromben und zunehmend auch für die Perfusionsdiagnostik zur Ischämiediagnostik. Wir verwenden das MRT zudem routinemäßig für die Diagnose von entzündlichen Veränderungen bei Herzmuskelerkrankungen.

Weitere, seltenere Indikationen sind die Charakterisierung von Herztumoren sowie die Untersuchung von Patienten mit angeborenen Herzfehlern im Erwachsenenalter. MRT-Untersuchungen werden in Zusammenarbeit mit der Klinik für Radiologische Diagnostik (Direktor: Prof. Dr. med. Holger Greess) durchgeführt.

Zur Bildergalerie (2 Bilder)

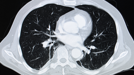
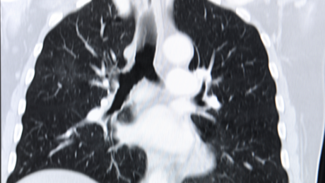
Kardio-CT

Der Klinik für Innere Medizin, Herz- und Kreislauferkrankungen steht ein für die Herz- und Gefäßbildgebung geeigneter Computertomograf der Firma Siemens zur Verfügung. Es handelt sich um ein sogenanntes 64-Zeilen-CT.

Das Gerät wird unter dem Dach der Klinik für Diagnostische Radiologie betrieben, die Herz-Untersuchungen werden gemeinsam von Kardiologen und Radiologen durchgeführt. 
In weniger als 500 ms, also ungefähr der Zeit eines halben Herzschlages, dreht sich das Gerät einmal komplett um den ganzen Körper. Dabei dient der Röntgenstrahl unter Einsatz eines besonderen Detektorsystems der simultanen Erfassung mehrerer Schichten pro Umdrehung ("Mehrschicht-CT", "MSCT" oder "Multidetektor-CT", "MDCT"). Moderne Mehrzeilendetektoren ermöglichen sehr dünne Schichten (< 1 mm), mit denen innerhalb weniger Sekunden ein ausreichend großer Bereich des Körpers abgebildet werden kann. Mit diesem Verfahren können die Koronararterien in hervorragender Qualität abgebildet werden.

Aufgrund der kurzen Untersuchungszeit reduziert sich die notwendige Strahlenexposition oft um ein Vielfaches. Es ist besonders wichtig, dass eine CT-Koronarangiographie in ein sinnvolles diagnostisches und therapeutisches Gesamtkonzept eingebunden wird.

Das Herz-CT ist nur so gut, wie die Frage, die an diese Methode gestellt wird. Wir wenden den für den Patienten entscheidenden Fragen („Was bedeutet der Befund für mich?“ und „Welche Konsequenz hat dieser Befund?“) deshalb besondere Aufmerksamkeit zu. Nach der Untersuchung werden deshalb von einem Kardiologen mit Ihnen gemeinsam der Befund und seine Konsequenzen ausführlich erläutert.

Farbschwäche:

Benutzen Sie die Schieberegler oder die Checkboxen, um Farbeinstellungen zu regulieren.

Einstellungen für Farbschwäche

Schrift:

Hier können Sie Schriftgröße und den Zeilenabstand einstellen.

Einstellungen für Schrift
Schriftgröße
D
1
U

Zeilenabstand
Q
1
W

Tastenkombinationen:

Mit den aufgeführten Tastenkombinationen können Seitenbereiche direkt angesprungen werden. Verwenden Sie auch die Tabulator-Taste oder die Pfeiltasten, um in der Seite zu navigieren.

Inhalt Tastenkombinationen
Hauptnavigation: M
Toolbar Menü: T
Inhalt: C
Footer: F
Direkt zur Suche: S
Barrierefreiheit: A
Hauptnavigation: M
Toolbar Menü: T
Inhalt: C
Footer: F
Suche: S
Schriftgröße +: U
Schriftgröße -: D
Zeilenabstand +: W
Zeilenabstand -: Q
Nachtmodus : Alt () + J
Ohne Bilder: Alt () + K
Fokus: Alt () + G
Tastenkombinationen: Alt () + O
Tastensteuerung aktivieren: Alt () + V
Alles zurücksetzen: Alt () + Y