medius KLINIK KIRCHHEIM

Menu

Herzkatheterlabor

Im Bereich der kardiologischen Versorgung nimmt unser Herzkatheterlabor eine zentrale Rolle an der medius Klinik für Innere Medizin, Herz- und Kreislauferkrankungen am Standort Kirchheim ein. Mit Kompetenz, Erfahrung und modernster Ausstattung sichern wir die qualitativ hochwertige Versorgung unserer Patientinnen und Patienten. Unser Herzkatheterlabor steht für innovative Herzdiagnostik, schnelle Akutversorgung und individuell abgestimmte Therapie im Landkreis Esslingen.

Ausstattung

Mit zwei volldigitalen Kathetermessplätzen bieten wir eine umfassende Diagnostik und Therapie von Herz- und Gefäßerkrankungen. Unser Herzkatheterlabor steht den Notfallpatienten im Rahmen einer 24-Stunden-Bereitschaft rund um die Uhr zur Verfügung und stellt somit eine schnelle und spezialisierte Akutversorgung bei Herzinfarkt und anderen lebensbedrohlichen Herzkrankheiten sicher.

Herzkatheteruntersuchung

Die Herzkatheteruntersuchung ist ein etabliertes Standardverfahren zur Darstellung der Herzkranzgefäße. In Deutschland werden jährlich über 600.000 dieser Untersuchungen durchgeführt. Im Rahmen einer Herzkatheteruntersuchung werden Engstellen (sogenannte Stenosen) aufgedeckt, die die Durchblutung des Herzmuskels beeinträchtigen können. Erste Anzeichen wie Angina pectoris machen eine frühzeitige Diagnostik notwendig, um schwerwiegende Folgen zu vermeiden.

Die Klinik für Innere Medizin, Herz- und Kreislauferkrankungen am Standort Kirchheim setzt auf modernste Technologien der minimalinvasiven Herzdiagnostik und -therapie:

  • Mithilfe eines intrakoronaren Ultraschallkatheters (IVUS) kann die genaue Beschaffenheit der Gefäße beurteilt und die optimale Entfaltung eines Stents überprüft werden.
  • Eine intravasale Druckmessung über einen speziellen Druckdraht sichert an grenzwertigen Engstellen die exakte Entscheidung, ob der Patient von der interventionellen Therapie profitiert.
  • Bei stark verkalkten Engstellen wenden wir die Rotablation an. Hierbei wird die Verkalkung durch einen diamantbeschichteten Fräskopf präzise entfernt.
  • Neu im Einsatz ist die Lithoplastie, ein innovatives Verfahren, bei dem Verkalkungen mittels Ultraschallwellen zerstört werden, um die Gefäße wieder passierbar zu machen.

Darüber hinaus bieten wir im Herzkatheterlabor am Standort Kirchheim Wiedereröffnungen von chronisch verschlossenen Herzkranzgefäßen an.

Auch der Verschluss bei einem offenen Foramen ovale (PFO), einer angeborenen Verbindung zwischen linkem und rechtem Vorhof, gehört zum Behandlungsspektrum des Herzkatheterlabors. 

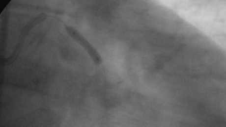
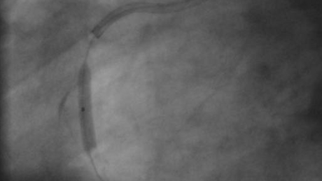
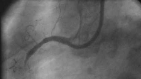
  • Bild 1
  • Bild 2
  • Bild 3

Bild 1: Verschlossene rechte Herzkranzarterie wie bei einem Herzinfarkt
Bild 2: Aufgeblasener Ballon im Verschlussarareal während der Ballondilatation 
Bild 3: Nach der Ballonaufweitung ist das Gefäß wieder vollständig von Blut durchflossen und stellt sich in seiner ganzen Größe dar.

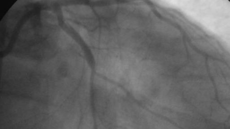
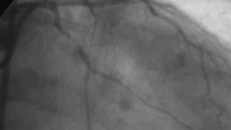
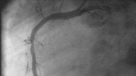
  • Bild 1
  • Bild 2
  • Bild 3

Bild 1: Hochgradige Engstelle nach einem Seitenast der linken Herzkranzarterie.

Bild 2: Der Ballon wird in der Engstelle aufgeblasen.

Bild 3: Das Ergebnis nach der Ballonaufweitung: Die Engstelle ist beseitigt, der Patient verspürt nun keine Schmerzen mehr.

Zur Bildergalerie (3 Bilder)

Patienteninformationen

Bei der Untersuchung punktieren wir die Handgelenks- oder Leistenarterie und führen über eine eingelegte Schleuse Katheter bis zum Herzen vor. Dort wird Kontrastmittel in die Herzkranzgefäße oder die Herzkammer eingebracht, um Verengungen oder Verschlüsse sichtbar zu machen. Diese können durch Verfahren der interventionellen Kardiologie wie Ballondilatation (Ballonaufweitung) und Stentimplantation effektiv behandelt werden.

Nein, die Punktion der Handgelenksarterie bzw. der Leistenarterie erfolgt in der Regel in Lokalanästhesie.

Die diagnostische Herzkatheteruntersuchung kann vollständig ambulant durchgeführt werden. Im Falle einer Ballonaufdehnung und Stentimplantation ist eine stationäre Überwachung bis zum nächsten Tag notwendig.

Weitere Informationen entnehmen Sie bitte der Patienteninformation Herzkatheteruntersuchung (PDF).

Kontakt

Kardiologische Ambulanz

Für Untersuchungen und Behandlungen in der Kardiologischen Ambulanz ist eine vorherige Terminvereinbarung notwendig.
Wir freuen uns auf Ihre Terminanfrage.

Tel.: 07021 / 88-46400
Fax: 07021 / 88-41409

 

Benötigte Unterlagen

Bringen Sie zu Ihrem Termin unbedingt Ihre Krankenversichertenkarte und einen gültigen Überweisungsschein mit.

Falls bei Ihrer niedergelassenen Ärztin / Arzt bereits Untersuchungen durchgeführt wurden, bitten wir Sie, die entsprechenden Befunde und Untersuchungsergebnisse mitzubringen. Diese Informationen helfen uns, Sie bestmöglich zu betreuen.

Downloads

Abteilungsbroschüre Klinik für Innere Medizin, Herz- und Kreislauferkrankungen, medius KLINIK KIRCHHEIM (PDF)

Download

Patienteninformation Herzkatheteruntersuchung (PDF)

Download

Farbschwäche:

Benutzen Sie die Schieberegler oder die Checkboxen, um Farbeinstellungen zu regulieren.

Einstellungen für Farbschwäche

Schrift:

Hier können Sie Schriftgröße und den Zeilenabstand einstellen.

Einstellungen für Schrift
Schriftgröße
D
1
U

Zeilenabstand
Q
1
W

Tastenkombinationen:

Mit den aufgeführten Tastenkombinationen können Seitenbereiche direkt angesprungen werden. Verwenden Sie auch die Tabulator-Taste oder die Pfeiltasten, um in der Seite zu navigieren.

Inhalt Tastenkombinationen
Hauptnavigation: M
Toolbar Menü: T
Inhalt: C
Footer: F
Direkt zur Suche: S
Barrierefreiheit: A
Hauptnavigation: M
Toolbar Menü: T
Inhalt: C
Footer: F
Suche: S
Schriftgröße +: U
Schriftgröße -: D
Zeilenabstand +: W
Zeilenabstand -: Q
Nachtmodus : Alt () + J
Ohne Bilder: Alt () + K
Fokus: Alt () + G
Tastenkombinationen: Alt () + O
Tastensteuerung aktivieren: Alt () + V
Alles zurücksetzen: Alt () + Y